|
Hello FUBARians,
Hope all has been well with my favorite legion this 3rd Quarter
of 2008? So much has been happening this past Quarter, we're not even sure
where to begin?... So, guess we'll just do what we always do? - Jump right
in!...
And speaking of “jumping” - or not as the case
may be, the infamous “AJ” was back in regional news reports this past
quarter when he, or rather "it" was severely injured while ice skating!?
“Yeah, it was just frolicking about out there on the ice and the next thing
I knew, it was laid out, cryin' like a girl!” Jeff “E” Mergency was quoted
as saying at the time of the incident. "I was playing Hockey!... Not Ice
Skating! Not Ice Skating!" the AJ was heard to be shouting as FUBAR
Paramedics strapped his to the gurney and threw him in the van! His cries
however mostly drown out by the people chanting “Down with the beast!” and
“Put it out of it's misery!”
Immediately following the injury, many questions had
arisen and citizens flooded the FUBARHQ to hear the fate of the “AJ.”
Within days, the Cyber Kid made this statement at a FUBAR press conference -
"Ladies and Gentlemen. I just want to put your fears to rest. The AJ will
terrorize you no more BUT, it will not be “put out of it's misery,” no
ladies and gentlemen. The AJ is resting comfortably at the FUBAR Medical
Center where he has undergone some major restorative surgery!? We are happy
to announce that his “spirit” has been broken and that we have in fact
"rebuilt him!" Worry no more, the AJ will no longer run a muck causing
havoc in our town!”
Supporting photos of the injuries were provided during
the press conference -
 |
Edit.JPG) |
| "Break a
leg" Carrie said before he hit the ice!?... Sounds fishy? |
The
"fix" - "Ain't nothin' rusty screws, metal and duct tape can't
fix!?" |
| |
|
|
%20(Medium).JPG) |
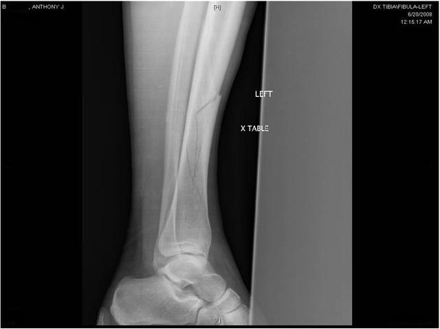
“As you can see in the x-rays, the AJ had
suffered a severe leg injury ice skating. ("I WAS PLAYING HOCKEY!")
But the expert doctors at the FUBAR Medical Center were able to
“patch” the leg using some spare bolts and an old transistor radio
antenna they found in the FUBAR Garage to “fix 'em right up!” - Mark
“Armadillo said later!
However, weeks following the incident brought
concerns as the AJ continued to heal, many people were calling the
FHQ with alarm - “Um, yeah, I was at Hooter's and I saw the AJ
hobbling by, what's with all the hair growth? Should we be
concerned?”
Trying to alleviate their fears once more, the
FUBAR HQ published the following statement – |
Information Release – Regarding the creature known
as the “AJ.”
There have been many sightings of the AJ during
it's ongoing recovery period. Many people have noticed some, almost,
freakish changes since the AJ's injury and subsequent surgery but we at the
FUBAR Headquarters wish to inform you that these “changes” are completely
normal and totally harmless (well at least to you, maybe not the AJ!?) and
are merely a result of the surgical process and hormone altering drug
regimen it's been taking. Some of the symptoms you may observe include –
Excessive Hair Growth, Barking, Runny Nose, Grumpiness, Weight Gain,
Lethargy, Mass Food Consumption, Self Promotion, Dog Breath and Gas!
Please Do Not be alarmed if you see the AJ
displaying any of these symptoms and NEVER engage in any behavior that MAY
help to aggravate the symptom! (That means don't throw it any Cheetos
Jeff!)
|
 |
So, we here at the FNC will continue to
monitor the progress of the AJ. (Note: at time of publishing,
reports of the AJ have been received claiming that it is in fact
"getting" about without the use of "support devices." Stay tuned to
the FNC for more on this continuing story!?...) |
In other news, the Cyber Kid has been in hot water
again this past quarter, having to explain why he has been traveling all
over the world. “Many FUBAR insiders and members of the Upper Management
feel that the Cyber Kid doesn't really have this new “airline job” and that
he is "merely squandering away our hard earned member ship dues traveling
around the globe” an unnamed source said! (It was Rothy)
| Dave M, alleged embezzler and FUBAR
CEO/Founder had this to say, "All I can tell you is some people just
focus on what you're doing and not how you got there - it's like the
kid who buys the Happy Meal and goes right for the toy! What about
the delicious meal too - the substance? I've seen this type of
jealousy a million times but I assure you my faithful people, I have
a legitimate position with an air carrier and that I am not using
money from the FUBAR Treasury to subsidize my travel to destinations
like Milan, Rome, Cairo, London and the like! Besides can we EVER
believe what Rothy has to say anyway? Seriously people, open your
eyes!" |
 |
The Cyber Kid was then quickly led away under
protection - chants of "Down with the little Dictator" could be heard from
the mob of protestors outside! (Actually, it's was heard just from Mark
"I'm gonna take over" Avocado but it sounded better the other way!?) Either
way, we'll be watching this developing revolution as it unfolds - "Vive le
FUBAR Resistance!"
Finally, in serious news, Jeff "E" and his lovely
wife, as did the Cyber Kid and his better half just celebrated the 1 year
anniversary of their daughters. Much fanfare and debauchery ensued and we
have all the pics to prove it! Look on and enjoy!...
| Miss
Emmie |
Miss
Jessica |
 |
 |
| YUMMY
CAKE!... Thanks Mommy for making it for me! |
YUMMY
CAKE!... Thanks Kroger Bakery for making it for me!?... :o( |
Other than that, the FNC has new pics, DARTH M News
and of course a new FOTQ, so enjoy and until next
quarter, watch this space - enjoy the newest collection of "WTF" -
 |
 |
|
| Check
out these guns!?... |
"Reptiles & Amphibians" - Sure it is!?... Just bring your Valtrex!?... |
|
OK, switched back to full caffeine - most nights anyway!? Until next quarter, this has again been your faithful
servant,
|